|
Copyright © 2014 Karakuş et al
Received Day: 04 Month: 02 Year: 2014 Accepted Day: 18 Month: 02 Year: 2014 APSP J Case Rep 2014; 5(1):10 |
| Testicular Adrenal Rest Tumor Mimicking Leydig Cell Tumor in a Patient with Congenital Adrenal Hyperplasia | |
| Esra Karakuş |
Affiliation: Department of Pathology, Ankara Children’s Hematology and Oncology Hospital, Turkey |
| Müjdem Nur Azılı |
Affiliation: Department of Pediatric Surgery, Ankara Children’s Hematology and Oncology Hospital, Turkey |
| Tuğrul Tiryaki |
Affiliation: Department of Pediatric Surgery, Ankara Children’s Hematology and Oncology Hospital, Turkey |
| Correspondence: Address for Correspondence:Esra Karakuş, Department of Pathology, Ankara Children’s Hematology and Oncology Hospital,[email protected] |
|
Dear Sir,
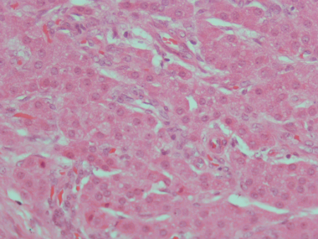
A 7-year-old boy, known case of CAH, was referred to our hospital with bilateral testicular enlargement. On examination, hyperpigmentation of the scrotum was observed. In addition, ultrasound (US) of testicles revealed round-to-oval hypoechoic heterogeneous lesions [34x14 mm (right) and 19x7 mm (left)]. The patient underwent testicular sparing tumor enucleation. On macroscopic examination the nodules were well-circumscribed, encapsulated, firm, and yellow in color (Fig. 1). Microscopic evaluation revealed that the tumors were composed of polygonal cells with abundant eosinophilic cytoplasm and well-defined borders (Fig. 2). The tumor cells were separated by a fibrous stroma. There were no evidences of infiltrating margins, necrosis, nuclear atypia, or vascular invasion. There was also no evidence of Reinke’s crystals.
Congenital adrenal hyperplasia (CAH) is an autosomal recessive disorder characterized by enzyme defects in the steroidogenic pathways. Testicular adrenal rest tumors (TARTs) are may have serious consequences in patients with CAH. They probably develop from ectopic remnants of intratesticular adrenal tissue, which might be stimulated by the rise of adrenocorticotropic hormone (ACTH). Their histological differentiation from Leydig-cell tumors is extremely difficult.[1]
Testicular masses may be encountered in CAH patients which may lead to gonadal failure. These are bilateral lesions and are also called TART which do regresss after steroid therapy. Histopathologically they may be confused with Leydig cell tumors. TARTs are observed in young adults but are negative for Reinke crystals which are observed in Leydig cell tumors. Definitive diagnosis can be made by clinical, laboratory and endocrinological evaluations.[2,3]
Source of Support: Nil
Conflict of Interest: None declared
Figures
|
|
|
|
Figure 1: On gross examination the nodules appeared encapsulated, firm, and yellow in color |
|
|
|
|
|
Figure 2: Tumor composed of polygonal cells with abundant eosinophilic cytoplasm and well-defined borders (X 400 H/E) |
|
References
| 1. | Entezari P, Kajbafzadeh AM, Mahjoub F, Vasei M. Leydig cell tumor in two brothers with congenital adrenal hyperplasia due to 11-β hydroxylase deficiency: a case report. Int Urol Nephrol. 2012;44:133-7. |
| 2. | Çakir ED, Mutlu FS, Eren E, Paşa AO, Sağlam H, Tarim O. Testicular adrenal rest tumors in patients with congenital adrenal hyperplasia. J Clin Res Pediatr Endocrinol. 2012;4:94-100. |
| 3. | Budzyńska E, Beń-Skowronek I. Testicular adrenal rest tumours in boys with congenital adrenal hyperplasia: case report and literature review. Pediatr Endocrinol Diabetes Metab. 2011;17:239-42. |
Refbacks
- There are currently no refbacks.
Copyright (c) 2014 APSP Journal of Case Reports

This work is licensed under a Creative Commons Attribution 4.0 International License.
ISSN: 2218-8185
We are now in process to use new version of Open Journal System. Submission are now open on our new website. Please CLICK HERE to divert to our new manuscript management system. You are required to register an author account before making any submission.
