Mortality in a Case of Crystal Gel Ball
Ingestion: An Alert for Parents
Authors: Bilal Mirza, Afzal Sheikh
APSP J Case Rep 2012; 3: 6
Affiliation: Department of Pediatric surgery, The
Children’s Hospital and the Institute of Child Health Lahore, Pakistan
Address for Correspondence: Muhammad Bilal Mirza, 428 Nishter Block,
Iqbal Town Lahore, Pakistan;
Email: blmirza@yahoo.com
Submitted On: 12-11-2011
Accepted On: 10-12-2011
Citation: Mirza B, Sheikh A. Mortality in a case of crystal gel
ball ingestion: An alert for parents. APSP J Case Rep 2012; 3: 6
Abstract
Decorative crystal gel balls
are used for decoration purpose. Due to their attractive appearance they may be
ingested by children. This may result in grave complications. A case of
decorative crystal ball ingestion is being reported in a 6 months old infant
who presented with sub acute intestinal obstruction and was operated. Crystal
gel balls were causing obstruction of jejunum. Enterotomy and removal of the
mass of jelly balls was done with primary closure. The patient was re-operated
for anastomotic disruption on 6th postoperative day. Baby developed
septicemia, and succumbed after 2 days of second operation.
Keywords: Crystal balls, Jelly
balls, Mortality.
Introduction
Decorative crystal jelly
balls because of their attractive features are used to decorate houses and
offices. They are very small colored pellets made of superabsorbent polymer
(SAP) which swell when they come in contact with water. On ingestion they can
produce complications of serious nature [1,2]. Herein,
we report a case of crystal ball ingestion where post operative outcome was
dreadful.
Case Report
A 6-month-old male infant presented
in surgical emergency with history of bilious vomiting for 25 days and non
passage of stool for a week. There was no history of abdominal distension. The
patient on presentation could not tolerate feeds rather he was reluctant to
take the feeds. The baby was investigated in another hospital where upper
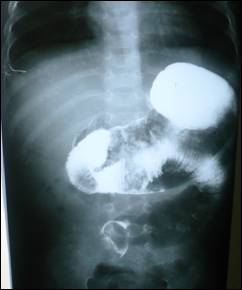
gastrointestinal contrast study showed obstruction in proximal jejunum (Fig. 1).
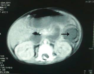
CT scan of abdomen revealed a rounded intra-luminal mass obstructing the bowel lumen
(Fig. 2). Patient had also developed jaundice Liver function tests showed,
total bilirubin 3.2mg/dl, direct 1.2mg/dl, alkaline phosphatase 220IU/lit with SGPT
and SGOT were within normal limits. Abdominal radiograph showed signs of sub
acute intestinal obstruction.

Figure
1: GIT contrast study showing obstruction and filling defect in the proximal
jejunum

Figure
2: CT scan showing a hypo-dense intraluminal bowel mass
Surgery
was planned for sub acute obstruction intestinal obstruction. On exploration,
the proximal jejunum was distended, edematous and thickened, having putty like
material on palpation, being stuck and could not be moved. Enterotomy was
performed which showed edematous and swollen bowel mucosa. Jelly balls formed
thick sludge and caused obstruction. The jelly like material was removed from
the jejunum (Fig. 3). Enterotomy was closed transversely as after retrieval of
jelly material the bowel was looking healthy and not compromised. Post
operatively the parents were enquired about crystal jelly balls and mother
admitted that the boy from neighbors gave the baby two jelly balls and he
swallowed one of them.
The
patient developed burst abdomen on 6th postoperative day and was re-operated.
At exploration anastomotic leak was found. The anastomosis was revised and
abdomen closed by retention sutures. The patient developed septicemia, and
succumbed after 2 days of second operation.

Figure
3: The retrieved crystal jelly material from small bowel
Discussion
Decorative crystal balls,
also called jelly balls or magic balls, swell when they come in contact with
water or water containing solutions. Their size range between 1 and 4 mm and
can absorb water 500 times of their weight and swell up to 30-60 times of their
original volume. Their ingestion can lead to dreadful complications owing to
their property of swelling in liquids. The complications following ingestion
can range from partial or complete intestinal obstruction as in the index case
to more severe form i.e. perforation peritonitis [1,2].
In the index case the
patient was diagnosed about a month of ingestion of crystal ball. The ball
initially caused partial intestinal obstruction followed by complete intestinal
obstruction upon presentation to us. As the jelly like material was retrieved
off a small enterotomy in the jejunum therefore considering it safe the
enterotomy was closed transversely that then led to disruption of the repair;
nevertheless in presence of jaundice and critical condition of the patient a
resection and anastomosis was not opted, feared of anastomotic disruption. The
intestine had become edematous and swollen
Based on our experience of dealing these cases we
recommend immediate endoscopic retrieval if the patient presents immediately after
ingestion. as seen in
cases of meconium ileus therefore, led to anastomotic disruption. Community
awareness through print and electronic media is required to ban such material
in the community where children can ingest this stuff.
References
1. Super
absorbent polymer. 2011 Nov 24. Available from: http://www.en.wikipedia.org/wiki/Superabsorbent_polymer.
2. Mirza
B, Ijaz L, Sheikh A. Decorative crystal balls causing intestinal perforation. J
Indian Assoc Pediatr Surg 2011;16:106-7.