
Figure 1: Old
and new coins in comparison – radiologically.

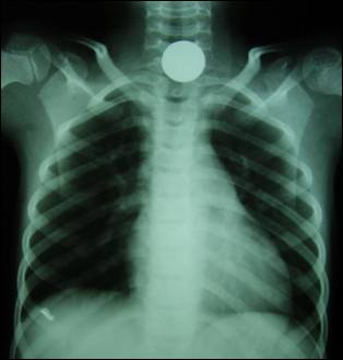
Figure 2:
X-ray neck & chest: Showing opaque shadow of a 5 Rupee coin in the cervical
esophagus in the 1st patient.

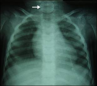
Figure 3:
X-ray neck &Chest: showing faintly visible aluminum coin in the cervical
esophagus (Arrow) in the 2nd patient.

Figure 4: The Coins – retrieved from the esophagus.