AJCR-2011-2-12-3

 

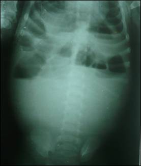
Figure 1: Abdominal radiograph suggestive of mass effect and intestinal obstruction.

 

 

 

 

AJCR-2011-2-12-1

 

Figure 2: Operative view of the cecal duplication (arrow). The ascending colon was collapsed.