ajcr-2010-1-6

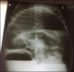
Image 1: Xray abdomen erect posture showing air fluid levels indicating intestinal obstruction.

 

ajcr-2010-1-6b

Image 2: Operative picture showing a distended colon proximal to the web