
Image 1: CT scan, saggital section showing huge unilocular cystic
abdominal mass

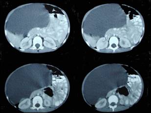
Image 2: CT scan showing
position of the cyst just beneath the anterior abdominal wall with compression
of the adjacent viscera

Image 3: Operative view of chylous cyst

Image 4:
Stretched out leaves of mesentery following drainage of fluid